PlateReady™ BHK-21 96 Well High Confluency (>70%) - (20cmLx12cmWx3cmH, weigh t50g)
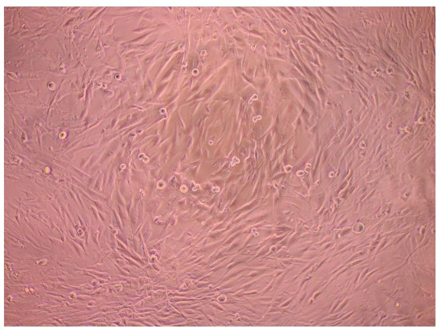
| PlateReady™ BHK-21 contiennent des fibroblastes adhérents isolés d'un hamster doré non infecté. Les cellules sont cryopréservées directement adhérées aux plaques de 96 puits grâce à la formulation brevetée CryoShield™ de CryoLogyx. La lignée cellulaire BHK-21 est bien caractérisée et largement utilisée dans les études de réplication virale et pour tester l'efficacité virucide de différentes formulations. Les plaques de 96 puits PlateReady™ BHK-21 sont compatibles avec tous les principaux tests 24 heures après décongélation. |
|
|
Une viabilité cellulaire de plus de 80% est attendue après décongélation, les cellules conservant une morphologie saine, une capacité proliférative immédiate, une activité métabolique et une intégrité membranaire. |
|
|
Contenu Cellules adhérentes BHK-21 cryopréservées dans une plaque de 96 puits. Chaque puits contient 100 µL de la formulation cryoprotectrice propriétaire de CryoLogyx. Aucune cellule n'est présente dans les lignes A et H, ainsi que dans les colonnes 1 et 12, afin d'éviter les effets de bordure lors des essais (en bleu sur le schéma). Stockage Conserver à -80°C et utiliser avant la date d'expiration indiquée sur l'emballage. Décongélation et milieu de culture Milieu minimal essentiel d'Eagle supplémenté avec 10% de sérum fœtal bovin et 1% de solution antibiotique-antimycotique (optionnel). |



